At Darwenside Dental we love creating beautiful smiles…
Invisalign (Clear Aligners)
We are proud to be an Invisalign Go Platinum Provider, offering you the opportunity to achieve beautifully straight teeth and a fantastic smile with our advanced Invisalign orthodontic treatment.
Dental Implants
Smile with confidence and enjoy your favourite foods with ease. Implants offer a reliable replacement for the root of a natural tooth, whether you need a single implant, unit bridge, or full-arch solution.
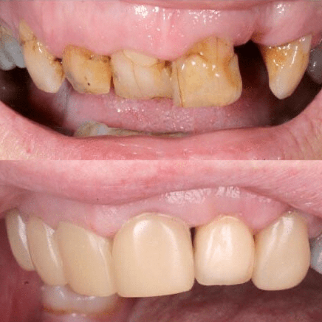
Composite Bonding
Achieve your perfect smile with Composite Bonding – our cosmetic dentists can match the shade and texture of your natural teeth, creating a seamless and stunning result.
Facial Aesthetics
We take pride in offering a range of exceptional facial aesthetic treatments, such as Anti-Wrinkle Injections and Lip Fillers, designed to help you look and feel your best.
Welcome to Darwenside Dental Practice in Blackburn with Darwen
Looking for a trusted NHS and Private dentist in Darwen near Blackburn near? Darwenside Dental is here to provide you with high-quality dental care in a modern and welcoming environment.
We are a busy, state-of-the-art dental practice offering a wide range of services to meet your needs. From preventive NHS dental treatments to advanced cosmetic dentistry, including Dental Implants, Invisalign, Facial Aesthetics and Composite Bonding, we are committed to helping you achieve a healthy, confident smile!
At Darwenside Dental Practice, we prioritise patient care, ensuring a stress-free, friendly experience for everyone. Our highly skilled team is passionate about delivering exceptional dental services tailored to your needs.
Call us today at 01254 703020 or visit Contact to book your appointment. Discover the difference with Darwenside Dental – where your smile is our top priority!

Love your smile even more with Tabeo! Spread the cost of your Invisalign (invisible teeth straightening), cosmetic dentistry, or dental implant treatments with 12-18 months of interest-free (0%) finance available.

New Private Patients are welcome!
We’re excited to announce that Darwenside Dental Practice, located near Blackburn and Darwen, is now accepting new private hygiene patients for Scale & Polish treatments. Whether you’re looking to brighten your smile or maintain excellent oral health, our professional team is here to provide expert care in a comfortable, modern environment.
Our state-of-the-art facilities and experienced staff are dedicated to helping you achieve a fresh, clean smile with personalised treatment options. Regular hygiene appointments, including Airflow Polishing, are essential for keeping your teeth and gums healthy and preventing long-term dental issues.
At Darwenside Dental, we also offer a comprehensive range of private dental treatments for all your needs. From routine check-ups to advanced cosmetic dentistry solutions – whether you’re interested in enhancing your smile with Invisalign or restoring it with a dental implant, we’re here to guide you every step of the way.
We’re proud to be a trusted Blackburn dentist and Darwen dentist, offering flexible private treatment and finance options to help you achieve the smile you’ve always wanted. Don’t miss the chance to experience the difference in dental care. Call us on 01254 703020 to schedule your appointment. Let us help you maintain a healthy smile that lasts a lifetime!
Darwenside Dental’s commitment to healthy smiles: Promoting good oral hygiene for children
Here at Darwenside Dental Practice, we believe that your child’s dental experience should be both fun and educational. Creating a positive, engaging atmosphere for our young patients is a top priority. We understand that introducing children to dental care early on helps foster lifelong healthy habits, so we go above and beyond to make each visit enjoyable, informative, and stress-free.
Don’t miss out on this fantastic opportunity to introduce your child(ren) to the world of dental care in a positive and engaging way! Call us today to book your spot and give your child a head start on their oral health journey.





